Minor Injury and Minor Illness

at a Glance

Francis Morris, Jim Wardrope and Shammi Ramlakhan

Self-Assessment Questions

8. Children

  • 1. Which types of fracture would be suspicious for a non-accidental injury in a child?

    Correct answer:

    • Fractures in pre-mobile children (under 18 months)
    • Humeral/femoral fractures in an under 3-year-old

    See Chapter 40.

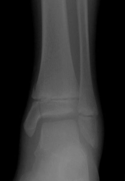
  • 2. Match the fracture type to the X-ray.
    (a) Greenstick
    (b) Salter Harris III
    (c) Buckle
    (d) Salter Harris IV

    Show/Hide Scan of X-ray 1
    Case 8 Diagram
    Show/Hide Scan of X-ray 2
    Case 8 Diagram
    Show/Hide Scan of X-ray 3
    Case 8 Diagram
    Show/Hide Scan of X-ray 4
    Case 8 Diagram

    Correct answer:

    X-ray 1: Buckle fracture distal radius and ulna.

    X-ray 2: Salter Harris III.

    X-ray 3: Salter Harris IV.

    X-ray 4: Greenstick fractures.

    See Chapter 40.

  • 3. At which ages are the following causes of a limp most common?
    (a) Transient synovitis.
    (b) Slipped upper femoral epiphysis.
    (c) Perthes' disease.
    (d) Toddler's fracture.

    Correct answer:
    (a) Transient synovitis.
      3–10 years
    (b) Slipped upper femoral epiphysis.
      >10 years
    (c) Perthes' disease.
      4–8 years
    (d) Toddler's fracture.
      1–3 years
    See Chapter 41.

  • 4. On examination of a febrile child, what features would warrant immediate referral/treatment?

    Correct answer:

    • Pallor, mottling, ashen, cyanosis
    • No response to social cues
    • Weak, high-pitched or continuous cry
    • Lethargy or difficult to rouse
    • Grunting, tachypnoea >60 or increased work of breathing
    • Non-blanching rash

    See Chapter 42.

  • 5. A 2-year-old boy presents after ingesting a button battery 1 h earlier. How would you manage this child?

    Correct answer:
    (a) Arrange X-ray of chest (and abdomen if not visible on chest X-ray)
    (b) If in oesophagus, refer for removal
    If below diaphragm, eat and drink and re-X-ray in 12 h
    (c) If fragmented or not moved, refer for removal
    If moved position along bowel, discharge with advice to return if symptomatic
    See Chapter 43.

  • 6. List the common childhood exanthems.

    Correct answer:

    • Measles
    • Rubella
    • Varicella (chickenpox)
    • Fifth disease
    • Roseola

    See Chapter 44.

  • 7. Name the rash described by each of the following characteristics.
    (a) Crops of lesions at varying stages, including crusted scabs, vesicles and papules.
    (b) Red cheeks and a red, lacy rash in the upper arms and legs.
    (c) Umbilicated pearly or skin-coloured papules.
    (d) Non-blanching, rapidly developing rash in an unwell, feverish child.

    Correct answer:
    (a) Crops of lesions at varying stages, including crusted scabs, vesicles and papules.
    Varicella
    (b) Red cheeks and a red, lacy rash in the upper arms and legs.
    Erythema infectiosum/slapped cheek
    (c) Umbilicated pearly or skin-coloured papules.
    Molluscum contagiosum
    (d) Non-blanching, rapidly developing rash in an unwell, feverish child.
    Meningocococcal septicaemia
    See Chapter 44.

Print Answers | « Previous Section | Section Index »

twitter