Infectious Disease
Case 25: A Refugee with Night Sweats and Haemoptysis
CASE
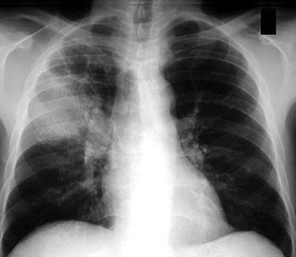
A 35‐year‐old refugee from Eritrea had a 4‐month history of night sweats and weight loss. Recently he had become more short of breath and had haemoptysis. He shared a room with four other family members. He has lived in the UK for 6 months. Though he remained haemodynamically stable he had a temperature of 38°C. Bronchial breathing was heard in the right upper zone of his chest. He had a mantoux test which was read 48 hours later and found to be strongly positive. He had a chest X‐ray (Fig. 0007) and his sputum showed acid‐fast bacilli.
Fig. 0007.
QUESTION 1
Your score this session: 0 of 0
What does a positive mantoux test mean?




